English
全部
搜索
图片
视频
地图
资讯
更多
购物
航班
旅游
笔记本
报告不当内容
请选择下列任一选项。
无关
低俗内容
成人
儿童性侵犯
时长
全部
短(小于 5 分钟)
中(5-20 分钟)
长(大于 20 分钟)
日期
全部
过去 24 小时
过去一周
过去一个月
去年
清晰度
全部
低于 360p
360p 或更高
480p 或更高
720p 或更高
1080p 或更高
源
全部
Dailymotion
Vimeo
Metacafe
Hulu
VEVO
Myspace
MTV
CBS
Fox
CNN
MSN
价格
全部
免费
付费
清除筛选条件
安全搜索:
中等
严格
中等(默认)
关闭
筛选器
Facebook
Radiosign
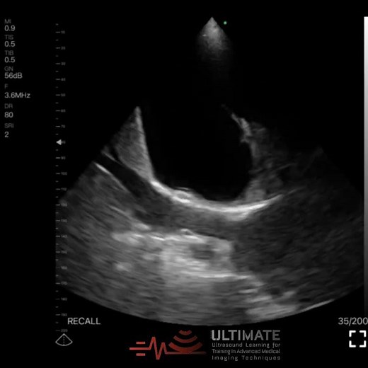
The Flapping Lung Sign, also known as the Jellyfish Sign, is a dynamic sonographic marker of compressive atelectasis in the setting of moderate to large pleural effusion. On B-mode
Radiosign. Tommee Profitt · In The End (Mellen Gi Remix/Slowed Down). The Flapping Lung Sign, also known as the Jellyfish Sign, is a dynamic sonographic marker of compressive atelectasis in the setting of moderate to large pleural effusion. On B-mode ultrasound, the compressed, non-aerated lung appears as a mobile, echogenic, lobulated tissue ...
已浏览 89 次
1 个月前
相关产品
Glowing Jellyfish
Jumpin Jellyfish Sign
Jellyfish First Aid
#Jellyfish Facts
Box Jellyfish Facts for Kids - Learn Everything about Box Jellyfish
kidzfeed.com
6 个月之前
Box Jellyfish | Life Cycle, Facts & Habitat
Study.com
2021年1月4日
热门视频
0:52
Lung Ultrasound - Jellyfish Sign
YouTube
Mad PoCUS
已浏览 965 次
2023年10月10日
0:45
Jellyfish Sign in Lung Ultrasound - ULTİMATE
YouTube
Ultimate
已浏览 570 次
2 个月之前
0:06
jellyfish sign . lung ultrasound
YouTube
Ultrasound cases
已浏览 9653 次
2022年3月22日
Jellyfish Sting Treatment
0:09
3.7K views · 7 comments | Did you get it right? 謁 The treatment for a general jellyfish sting is: 1. Carefully remove tentacles using tweezers or a gloved hand. 2. Apply hot water if available (as hot as the victim can handle). 3. If hot water is unavailable or does not lessen discomfort, apply an ice pack. 4. Monitor vital symptoms. * Excludes treatment for Irukandji and Box Jellyfish stings. . . . #Jellyfish #JellyfishSting #FirstAidTips #SafeWithSurvival | Survival | Facebook
Facebook
Survival
已浏览 2593 次
3 周前
3:04
How To Treat Jellyfish Sting? - The Marine Life Explorer
YouTube
The Marine Life Explorer
已浏览 39 次
8 个月之前
5:29
Box jellyfish sting severity and treatment
MSN
2 个月之前
0:52
Lung Ultrasound - Jellyfish Sign
已浏览 965 次
2023年10月10日
YouTube
Mad PoCUS
0:45
Jellyfish Sign in Lung Ultrasound - ULTİMATE
已浏览 570 次
2 个月之前
YouTube
Ultimate
0:06
jellyfish sign . lung ultrasound
已浏览 9653 次
2022年3月22日
YouTube
Ultrasound cases
0:03
Derrame_Pleural___Jellyfish_Sign
…
已浏览 2 次
3 个月之前
Vimeo
Global Ultrasound Institute
0:11
Jellyfish Sign for Pleural Effusion on Ultrasound
已浏览 1.3万 次
2016年1月9日
YouTube
POCUS 101
0:27
lung ultrasound jellyfish sign
已浏览 568 次
2022年10月16日
YouTube
Muhammed fawzi
0:10
Jelly fish sign (pleural effusion)
已浏览 1724 次
2023年2月24日
YouTube
Emergency Ultrasonography
5:19
Pleural effusion on ultrasound and jellyfish sign
已浏览 22 次
7 个月之前
YouTube
Dr.Fraser
1:42
Ever seen a jellyfish inside a human chest? | Jellyfish Sign on Chest U
…
已浏览 136 次
1 个月前
YouTube
Dr. Masud
0:04
Watch how to sign 'jellyfish' in American Sign Language.
2014年12月12日
signasl.org
The Ultimate Guide to Jellyfish
2023年1月31日
floridapanhandle.com
0:04
jellyfish in ASL
2014年12月7日
signasl.org
1:25
How To Sign Jellyfish
已浏览 1318 次
2023年5月24日
YouTube
One Fact ASL
9:52
Jellyfish and Anemone Anatomy (Cnidaria)
已浏览 10万 次
2013年1月10日
YouTube
MacOrganisms2
Jellyfish Symbolism: Spiritual Meaning & Significance In Culture
2015年9月4日
richardalois.com
0:03
LEARN TO SIGN JELLY FISH - [ASL]
已浏览 2.3万 次
2017年7月19日
YouTube
ASLdeafined
1:46
Learn first aid gestures: Jellyfish Sting
已浏览 446.6万 次
2016年5月12日
YouTube
SIKANA English
Jellyfish | Cosmic Animal Meanings, Symbolism & Dreams
2018年8月13日
tanyacasteel.com
0:41
Found in the far depths of the Eastern Pacific ocean, this rarely-
…
已浏览 2518.2万 次
2018年1月26日
Facebook
National Geographic
3:42
7.4K views · 112 reactions | Learn about one of the most diverse an
…
已浏览 7404 次
1 周前
Facebook
National Geographic UK
0:48
Scuba Diving Hand Signal Lesson: Jellyfish
已浏览 563 次
2022年8月31日
YouTube
Sign Dummy
7 Spiritual Meanings of a Jellyfish: The true symbolism
2021年10月22日
angelicalbalance.com
9:13
Facts: The Jellyfish
已浏览 9.4万 次
2020年11月3日
YouTube
Deep Marine Scenes
1:04
Jellyfish Nature s Warning Sign
已浏览 1 次
1 个月前
YouTube
Living World
1:54
Jellyfish: A Success Story | Nat Geo Wild
已浏览 3.5万 次
2018年1月17日
YouTube
Nat Geo Animals
1:01
79 reactions · 67 shares | An encounter with a jellyfish can cha
…
已浏览 1.3万 次
1 周前
Facebook
Mayo Clinic
4:07
10 FACTS About JELLYFISH That Will SURPRISE You 😱
已浏览 2.2万 次
2022年11月20日
YouTube
AnimalWised
2:48
Jellies 101 — The Basics! | Monterey Bay Aquarium Explains Jellyfish
已浏览 2.5万 次
2022年1月27日
YouTube
Monterey Bay Aquarium
4:15
Jellyfish 👾 Animals for Kids 🌊 Episode 9
已浏览 8.2万 次
2022年8月11日
YouTube
Smile and Learn - English
观看更多视频
更多类似内容
反馈